MAGF: Multi-scale Attention and Gated Fusion for Multi-modal Glaucoma Grading

Haixi Cheng1 Chaoqun Hong1,* Bo Zhang2 Huihui Fang3,* Yanwu Xu3,4 Si Yong Yeo5,6,7,*
1Key Laboratory of Fujian Universities for Virtual Reality and 3D Visualization, Xiamen University of Technology, China    2College of Computing and Data Science, Nanyang Technological University, Singapore    3Pazhou Lab, China    4School of Future Technology, South China University of Technology, China    5MedVisAI Lab, Singapore    6Centre of AI in Medicine, Singapore    7Lee Kong Chian School of Medicine, Nanyang Technological University, Singapore

Overview

Glaucoma is one of the leading causes of irreversible blindness worldwide. Clinical diagnosis typically relies on multiple imaging modalities, such as color fundus photography (CFP) and optical coherence tomography (OCT), which provide complementary structural information about the optic nerve head and retinal nerve fiber layer.

However, effectively integrating heterogeneous information from multiple modalities remains a challenging problem for automated glaucoma grading systems.

We propose MAGF, a multi-modal deep learning framework that integrates CFP and OCT volumetric scans through multi-scale attention and gated fusion mechanisms. By enhancing modality-specific representations and dynamically balancing cross-modal contributions, MAGF provides a robust solution for multi-modal glaucoma severity grading.

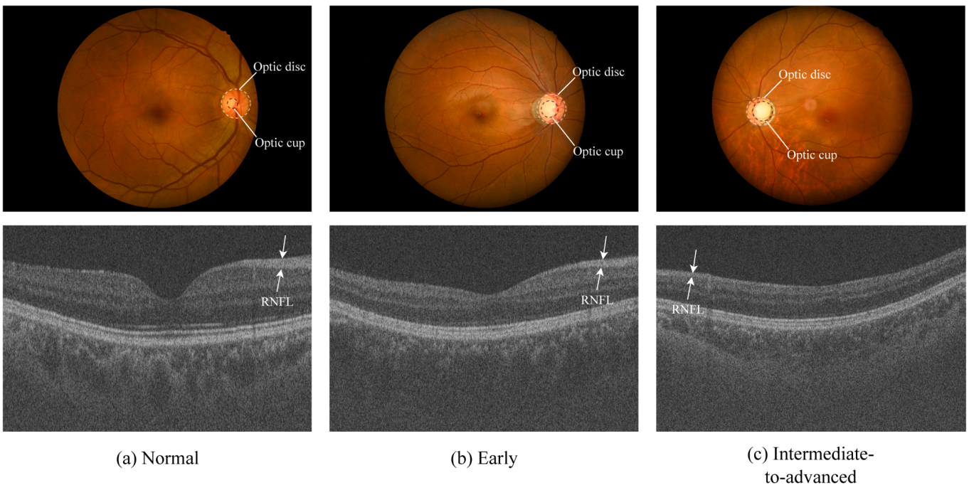
Dataset & Glaucoma Stages

The GAMMA dataset contains paired CFP and OCT images across three glaucoma severity stages. The following figure illustrates examples from each stage, highlighting key clinical indicators including optic cup-to-disc ratio and retinal nerve fiber layer (RNFL) thickness.

Examples from the GAMMA dataset across three glaucoma severity stages
Figure 1. Examples from the GAMMA dataset across three glaucoma severity stages. (a) Images classified as no glaucoma, showing normal optic disc morphology and intact retinal nerve fiber layer (RNFL). (b) Images classified as early-stage glaucoma, where glaucomatous changes are evident, including an increased vertical cup-to-disc ratio (vCDR) in the CFP image and mild RNFL thinning in the OCT image. (c) Images classified as intermediate-to-advanced glaucoma, exhibiting more pronounced glaucomatous alterations, with a further enlarged vCDR and substantial RNFL thinning. The top row displays CFP images with annotated optic cup and optic disc regions, while the bottom row presents OCT slices with annotated RNFL regions.

Highlights

  • A multi-modal glaucoma grading framework integrating CFP and OCT volumetric scans.
  • A Multi-scale Attention Fusion Module (MAFM) that enhances OCT structural feature representation.
  • A Gated Fusion Module (GFM) that adaptively balances contributions from different modalities.
  • Extensive evaluation on the GAMMA benchmark dataset demonstrates strong performance.

Method Overview

MAGF adopts a dual-branch architecture to extract features from color fundus photographs and OCT volumetric scans. The framework consists of three main components:

  • Dual-branch Feature Extraction: Separate feature encoders are used to extract modality-specific representations from CFP and OCT images.
  • Multi-scale Attention Fusion Module (MAFM): Applied to the OCT branch, MAFM captures structural patterns using multi-scale channel attention and spatial attention mechanisms.
  • Gated Fusion Module (GFM): The GFM dynamically fuses features from CFP and OCT by learning adaptive gating weights that regulate the contribution of each modality.
MAGF Architecture
Figure 2. MAGF consists of three main modules: a dual-branch feature extraction module, the Multi-scale Attention Fusion Module (MAFM), and the Gated Fusion Module (GFM). CFP and OCT images are first fed into parallel EfficientNet-based branches to extract modality-specific features. The OCT branch is further refined by MAFM to improve its representation of retinal structures across multiple semantic levels. Subsequently, features from both modalities are dynamically fused through GFM, which also incorporates global max pooling (GMP) operations to retain fine-grained texture and edge information from each modality. The resulting fused representation is then forwarded to the classification head for final glaucoma grading.

Multi-scale Attention Fusion Module (MAFM)

OCT images contain rich structural information about the retinal layers, but their representations may vary across scales. The MAFM enhances OCT features through a combination of:

  • Multi-scale channel attention, capturing patterns across different receptive fields (kernel sizes 3, 7, and 13)
  • Spatial attention, emphasizing informative anatomical regions

This design allows the network to better capture structural variations relevant to glaucoma progression.

Gated Fusion Module (GFM)

Simply concatenating features from multiple modalities may lead to suboptimal performance because each modality contributes differently across cases. The GFM introduces an adaptive gating mechanism that dynamically balances the contributions of CFP and OCT features during feature fusion. By learning modality-specific weights, the model can:

  • Emphasize the most informative modality
  • Suppress redundant or noisy information

This adaptive fusion strategy improves the robustness of multi-modal glaucoma grading.

Results & Visualization

MAGF is evaluated on the GAMMA dataset, a public benchmark for multi-modal glaucoma grading that contains paired CFP and OCT images. Experimental results show that MAGF achieves strong performance compared with existing multi-modal methods, demonstrating the effectiveness of multi-scale attention and gated feature fusion.

Performance Comparison

Method Kappa
MAGF (Ours) 0.9183
ELF 0.8960
Mstnet 0.8920
GGUM 0.8860
ETSCL 0.8844
GAMMA Challenge Winner 0.8649

To better understand the model's behavior, Grad-CAM visualization is applied to highlight the regions that contribute most to the model's predictions:

Grad-CAM attention heatmaps
Figure 3. Grad-CAM attention heatmaps for CFP and OCT across Glaucoma Stages. Each row represents a stage: (a) No glaucoma. (b) Early-stage glaucoma. (c) Intermediate-to-advanced glaucoma. The CFP attention progressively concentrates on the optic disc with disease progression. Simultaneously, the OCT attention sharply highlights the RNFL and inner retinal boundaries.

The visualization results show that CFP attention maps focus on the optic disc and cup regions, while OCT attention maps emphasize retinal nerve fiber layer structures. These observations are consistent with clinical knowledge of glaucoma pathology.

Technical Details

Implementation

  • Backbone: EfficientNet-B7 (ImageNet pretrained)
  • Optimizer: Adam with learning rate 0.0001
  • Loss Function: Cross-entropy loss
  • Batch Size: 3
  • Training Iterations: 1000
  • Hardware: NVIDIA GeForce RTX 4090 GPU

Dataset

  • GAMMA Dataset: 300 CFP-OCT paired samples from Zhongshan Ophthalmic Center
    Dataset Link
  • Training: 200 samples
  • Testing: 100 samples
  • Classes: Non-glaucoma, Early-stage, Intermediate-to-advanced

Citation

@article{cheng2026magf,
  title={MAGF: Multi-scale attention and gated fusion for multi-modal glaucoma grading},
  author={Cheng, Haixi and Hong, Chaoqun and Zhang, Bo and Fang, Huihui and Xu, Yanwu and Yeo, Si Yong},
  journal={Expert Systems With Applications},
  volume={312},
  pages={131388},
  year={2026},
  publisher={Elsevier},
  doi={10.1016/j.eswa.2026.131388}
}

Published in Expert Systems With Applications 2026

Volume 312, Article 131388